Enis Güryel, Ortopedik Ameliyatlarda İngiltere’de ‘Bir Numara’
Eklenme Tarihi: 24 Aralık 2020

Ortopedik ameliyatlarda ağrılı ve uzun süreli tedavi yöntemlerinin yerine kendi geliştirdiği tekniği uygulayan Kıbrıslı Türk doktor Enis Güryel, bu dalda İngiltere’de aranan isim haline geldi.

Brighton’daki Royal Sussex County Hastanesini ortopedik travma merkezinde görev yapan 46 yaşındaki Dr. Enis Güryel, magnet yöntemi ile İngiltere’de ilk ameliyatı yapan doktor olarak da tıp tarihine geçti.

Kaza veya hastalık neticesinde kısa kalan bacakları uzatma konusunda yeni teknik ile geçtiğimiz yıl İngiltere’de ilk ameliyatı yapan Dr. Güryel, “Eskiden aylarca süren, enfeksiyona, ağrıya yol açan, hastaları yatağa veya eve bağlayan ameliyat yerine, özel “ intra modüler çivi” yöntemiyle yaptığımız ameliyatlar hem başarıyla sonuçlanıyor. Hem zamanı kısaltıyor, hem de hastamızın kısa bacağını eski boyutuna az ağrılı, sıkıntısız şekilde getiriyor” dedi.

Yeni yöntemin kozmetik amaçlı da kullanıldığını kaydeden Dr. Enis Güryel, “ Boy uzatma yöntemi çeşitli ülkelerde uygulanıyor. Boyunuzu 10 santime kadar uzatmak mümkün. Bu teknik ile iyileşme süresi, ağrı süreçleri klasik yöntemle yapılan ameliyatlara göre oldukça olumlu. Hastalar kısa zamanda kısa kalan bacaklarına veya uzatmak istedikleri boya kavuşuyorlar” bilgisini verdi.
Oldukça karışık bir ortopedik işlem olan yeni teknik konusunda Dr. Enis Gürel şu bilgileri verdi;
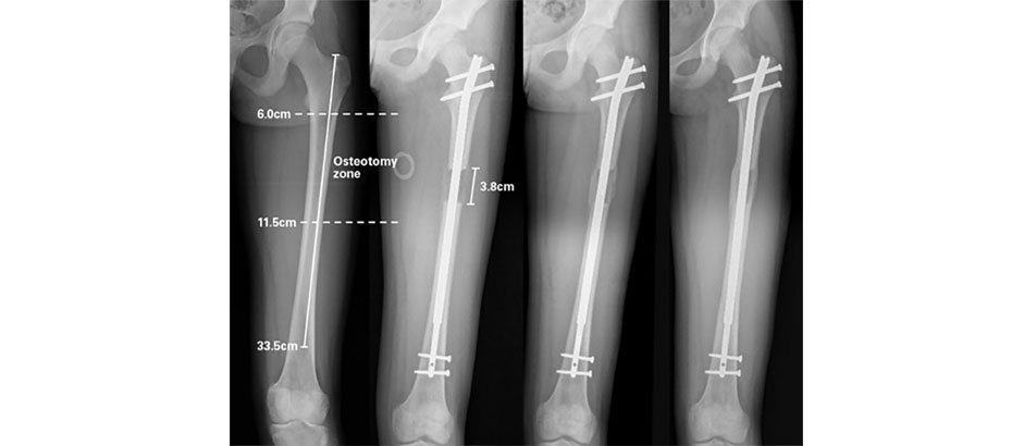
“Kaza, hastalık sonunda kemik ve kas kaybı ile bacaklarından biri veya her ikisinin de boyu kısalan hastalar eskiden çok ağrılı, uzun zaman alan bir yöntemle tedavi ediliyordu. Kemiği uzatmak oldukça ağrılı bir işlemdir. Kaybolan kemik dokusu zamanla yerine gelir. Ameliyattan sonra hasta, kemiğine takılan civiler, etrafındaki çelik çerçeve ile aylarca yatakta yatmaya mahkum bırakılırdı. Her gün 1 mm uzatmak için bacak gerilirdi. 1 santim uzatmak için 50 güne ihtiyaç vardı. Hasta yaklaşık bir yıl bacağına takılı çelik çerçeve ile yaşamak zorunda kalıyordu. Bu arada enfeksiyon tehlikesi de oldukça yüksekti.

Şimdi 5 yıl önce geliştirilen bir teknik ile kemiğe yerleştirilen “intra modüler çivi”, magnet yani mıktanıs ile günde 2-3 defa çevrilerek bu uzatmayı gerçekleştiriyoruz. Uzatmayı eski tekniğin aynı süresi içinde gerçekleştirsek de en önemlisi hasta bacağında çelik çerçeve ile gezmiyor. Çerçeve tamamen ortadan kalkıyor. Ağrı çok daha az, hareket etme daha kolay. Hastalar bu yöntemle çok daha başarılı, ağrısız, daha konforlu bir iyileşme geçiriyor. Çok daha rahat yürüyebiliyor. Bu yöntemle kaybolan kemik dokusu yerine geliyor, bacağı kaybolan ölçüde yerine getirebiliyoruz”
Trafik kazası veya çeşitli nedenlere bacaklarından ciddi şekilde yaralanan, sakatlanan hastaların bazılarının ampute bile edildiğini kaydeden Dr. Enis Güryel, şöyle devam etti;
“Çeşitli nedenlerle bacağınızdan kemik kaybı yaşamışsınız. O zaman kemik taşıma yöntemini uyguluyoruz. Örneğin 5 santimlik kemik kaybolmuş. Aynı kemikte 5 santimlik kemiği kesip, boşluğu dolduruyoruz. Kemiği bir şekilde aşağı doğru itiyoruz ve zamanla kemik dokusu doluyor. Kemik kaybı olan kanserli hastalara da bu yöntemi uyguluyoruz. Eğer uzatma işlemi yapıyorsak intra modüler çivi kullanıyoruz. Bu çiviyi kullanarak kemiği aşağı doğru itebiliyoruz. Bu yöntemi 2 yıl önce geliştirdiler. Magnet kullanarak, çiviyi günde 2-3 defa döndürerek uzatmayı gerçekleştiriyoruz.
İngiltere’de bu yöntemle ameliyatı ilk ben uyguladım. İlk ameliyat Amerika’da yapldı. Nuvasive adlı Amerikan firması bu yöntemi geliştirdi. Amerika’da bu yöntemle 2 ameliyat yapıldı, Dünyadaki üçüncü, İngiltere’deki ilk ameliyatı da ben yaptım. Sonuç oldukça başarılı oldu.”

KOZMETİK KULLANIMI
Boy uzatma yönteminin yıllardır ağrılı şekilde uygulandığını , ancak yeni yöntemle ağrısız, çerçevesiz işlemin yapıldığını da kaydeden Dr. Enis Güryel, “Ben kozmetik olarak da bu ameliyatları yapabilirim. Henüz hiç yapmadım. Bu konuda ameliyat olmak isteyenler iyice araştırsınlar, en iyi doktor ve merkeze gitsinler. Türkiye’de de incelemelerim oldu . Kozmetik boy uzatma orada da uygulanıyor. Ancak bazı merkezleriin tam denetlendiğini sanmıyorum. Yaptırmayı düşünenler, bu işin gerçek merkezlerine gitsin.

Yeni yöntemle kayıp kemiği uzatma tekniğinde , travma nedeniyle ameliyat ettiğim en genç hastam 27, en yaşlısı ise 70 yaşındaydı” diye sözlerini sürdürdü.

Tuzlalı bir ailenin İngiltere’de doğan oğlu olan Dr. Enis Güryel, Seval Güryel ile evli. Londra’daki St. Thomas Hastanesi Tıp Fakültesini bitirdi. Seval Güryel ile evli ve Eren Şükrü ve Emre Can adlı iki çocuk babası.